样本泄漏离心机应急处理方案
1、离心机停止后发现离心管破裂,应立即将盖子盖上,切断电源并密闭30min后再处理; 2、戴双层手套,必要时戴 […]
1、离心机停止后发现离心管破裂,应立即将盖子盖上,切断电源并密闭30min后再处理; 2、戴双层手套,必要时戴 […]
一、主要参数: 1、电源电压:220V±10% 50HZ; 2、紫外线灯管功率:30W×2; 3、辐射紫外线波 […]
一、仪器特点 1. 多档速度可调; 2. 可震荡多种装载容器,如:离心管、试管、酶标板等; 3. 三点开关,可 […]
一、功能作用 是一种专门为磁珠产品设计的磁性分离装置,主要用于磁性微粒的固液快速分离,是基于磁珠法进行核酸抽提 […]
本实验室的托盘天平用于大型冷冻离心机离心前物品的配平,并非用于称重,称重请使用电子天平。 使用托盘天平前,先将 […]
定义 离心机是利用离心力,分离液体与固体颗粒或液体与液体的混合物中各组分的机械。 作用原理 离心机主要用于将悬 […]
离心机在使用过程中首先要注意平衡,目前实验室的离心机有三种不同的转子:固定角转子、工作板转子、水平吊篮转子。 […]
现在对“靠谱”最流行的定义就是所谓的“凡事有交代,件件有着落,事事有回音”。 但这是一个非常笼统的定义,而且更 […]
时代需要人才;而人才,需要口才。 文字和语言,是人类最伟大的发明,是人类文明史的标志。如果没有语言文字作为沟通 […]
汇报工作具体要注意什么呢?什么时间汇报,怎样汇报?下面我们就来详谈汇报技巧。 1、时间跨度较短的工作:什么时候 […]
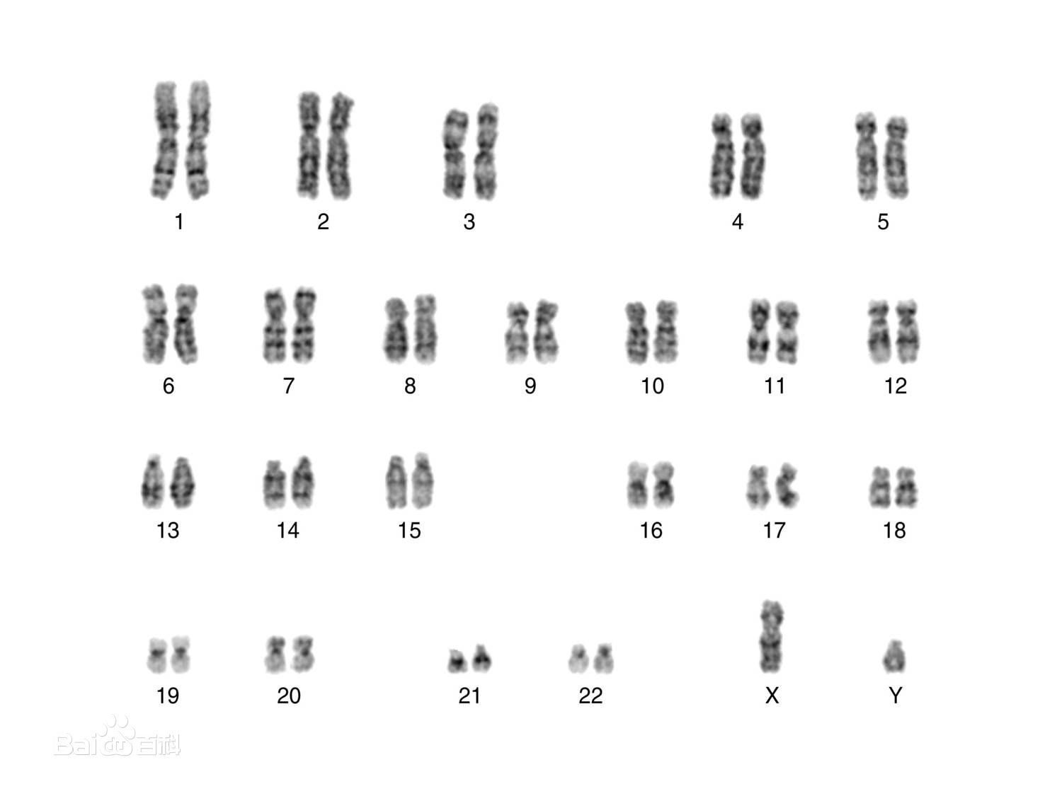
一、染色体 (细胞核的组成部分)定义 染色体(chromosome) 是细胞在有丝分裂时遗传物质存在的特定形式 […]
核糖核酸(缩写为RNA,即Ribonucleic Acid):存在于生物细胞以及部分病毒、类病毒中的遗传信息载 […]